oeuf-clair-traitement-naturel

oeuf-clair-traitement-naturel

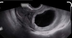
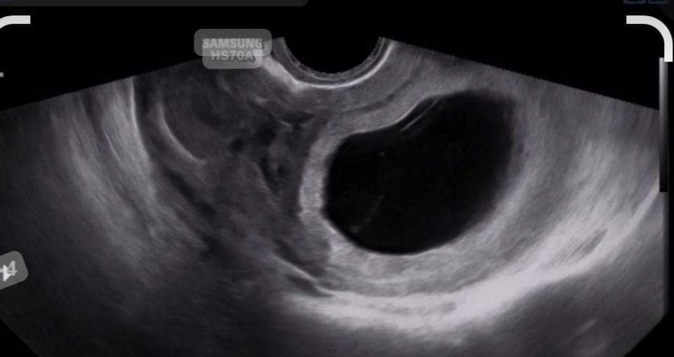
œuf clair traitement naturel. grossesse œuf clair, blanc, traitement naturel

œuf clair traitement naturel. grossesse œuf clair, blanc, traitement naturel

Laisser un commentaire

Partager
Traduire »
×
Verified by MonsterInsights