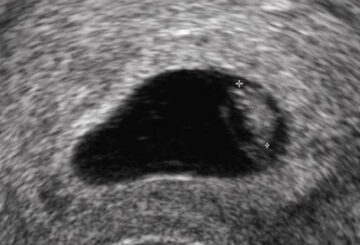
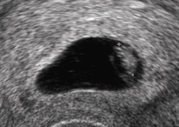
Quand se produit la fécondation après l’ovulation ?
Quand a lieu la fécondation ? On vous dit quand a lieu la fécondation après l’ovulation ainsi que de divers traitements naturels pour tomber enceinte mais aussi garder la grossesse à terme et accoucher...